歯ぐきのケガも要注意!
真夏のような暑さもある今日この頃。(今日は久しぶりの大雨ですが、、☔️)
思いっきり汗だくでお外で遊ぶ日も多くなってきました( ̄ー ̄)ノ
そんな時に多くなるのが、ケガ。
手をついて転んでも、お口ぽかんだと口の中を打ってしまうこともしばしば(±_±)
血だらけで、、、口の中がよく見えません(怖くて見られません(/へ\))!と先日立てつづけに数人急患来院されました!!
口の中を消毒の水でキレイにして(ここ意外にポイント✨)
お外のケガだと、砂、アスファルト等がお口の中についていることが多いのです。
たとえ砂のような細かい異物でも、傷のなかに残ると傷跡が残ることも…(´;ω;`)
出血の原因となる場所を特定していきます。
腫れてくる場合があるので、腫れを防ぐため、できるだけ早く氷で冷やすのもおすすめです。(腫れた後は、水とタオルで冷やしましょう。この場合は氷だと冷たすぎます。)
「上のヒダが切れてる!!」
これは、ケガではよくあることで、上唇小帯というヒダが切れてしまっていました。
血さえ止まっていれば、特に処置する必要はありません。
むしろ、上唇小帯が強いと、歯磨きがしにくかったり…前歯がすきっ歯になる原因にもなるため、切れてラッキーという場合さえあります(笑)
2、3日は、泣いたときや歯磨き時に血が出やすいですので、注意してください、と伝えてお帰りになりました。
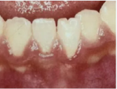
他のお友達は、「あ、歯ぐきがめくれてる!!」
歯でなく、歯ぐきを強く打ったようで、幸い歯にはダメージはなかったのですが、歯ぐきが切れて、ピロピロしてしまっていました(;´∀`)
乳歯のケガの場合、永久歯に生え変わると、歯ぐきがリニューアルされて元に戻りやすいのですが、永久歯のケガの場合、歯ぐきが下がったまま、なんてことになりかねません。
左の前歯に比べて、右の前歯の歯ぐきが下がっています。
歯ぐきを元の場所に戻して、縫ったり、口の中用の粘着剤を貼ったりする必要があります。
(処置をしても、血流が元に戻らなかった場合は、歯ぐきが完全に元に戻らない可能性もあります)
※縫う場合は麻酔が必要になります

この場合のみ、縫った糸や絆創膏が取れないように、歯ブラシは歯だけに当てるようにお願いします。
歯自体のケガは、歯磨きが1番大切!!!!歯ぐきのケガと異なるので要注意です。
ケガしてから時間が経過してしまうと、歯ぐきが元に戻らなくなる可能性が高くなるので、ケガをしたら、早めに歯科医院を受診しましょう☆


