ホワイトニングについて
Whitening

白く輝く歯は「健康的な美しさ」という魅力をプラスします
歯は食べ物・飲み物などに含まれる色素やタバコのヤニなどの影響で、自然と着色してしまいます。歯の表面の着色や汚れの場合は、歯のクリーニングで色調を改善することができますが、歯の内部まで変色しているような場合には、ホワイトニングが効果的です。
白く輝く歯は、笑顔に自信が表れ、清潔感も加わるため、顔全体の印象を明るくしてくれます。
このような方におすすめ
- 笑顔の印象を良くしたい方
- 印象を明るくしたい方
- 歯の黄ばみが気になる方
- 着色やヤニなどの汚れが気になる方
- 人前で話す機会が多い方
- 結婚式などのイベントを控えている方

痛みが少ない「ポリリン酸プラチナホワイトニング」
ポリリン酸ホワイトニングは、あらゆる生物の身体の内にもともと存在する生体成分である「分割ポリリン酸」を使用した、安全で高い効果が期待できるホワイトニング法です。
効果
従来のホワイトニング
おすすめ
ポリリン酸ホワイトニング
白さ
薬剤によって着色するので透明感が少ない
プラチナナノコロイドの効果で輝く自然な白さが可能
痛み
痛みを感じやすく、知覚過敏になることもある
痛みを感じにくい
色戻り
歯をコーティングしていないため、
施術直後は着色しやすい
ポリリン酸が歯をコーティングし、
汚れが付きにくくなるため透明感のある白さが長持ちする
保護力
ホワイトニング剤を歯の表面に塗り色素を分解するため、
歯にダメージが残ることがある
ポリリン酸コーティングにより、
歯が傷付きにくく歯質が強化される
お食事
カレー・コーヒー・ワインなど、施術直後は特に食事制限がある
施術直後の食事制限がほとんど不要
次回期間
次回まで2~3週間の期間が必要
1週間後には治療が可能
ホワイトニングの料金
| ホワイトニング内容 | 料金(税込) |
|---|---|
| 歯数12本未満の場合 1歯 | 2,750円 |
| 12本~15歯の場合 1歯 | 1,650円 |
| 16本の場合 1歯 | 1,100円 |
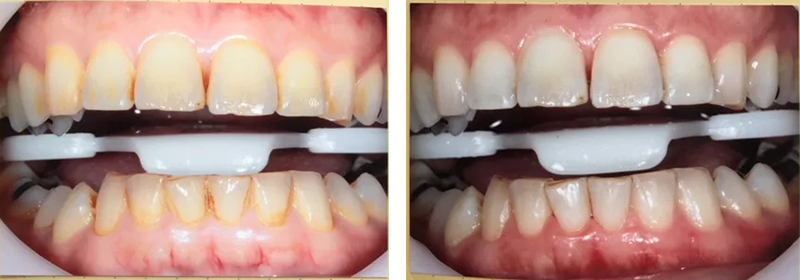
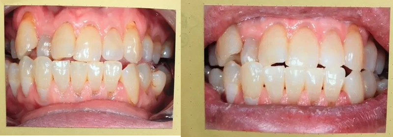
当院の「ポリリン酸プラチナホワイトニング」施術一例

| 治療内容 | ポリリン酸プラチナホワイトニング |
| 施術対象 | 40代 男性 |
| 施術本数 | 20本 |
| 想定されるリスク | 処置後、短時間歯がしみる |

| 治療内容 | ポリリン酸プラチナホワイトニング |
| 施術対象 | 60代 女性 |
| 施術本数 | 16本 |
| 想定されるリスク | 処置後、短時間歯がしみる |

| 治療内容 | ポリリン酸プラチナホワイトニング |
| 施術対象 | 30代 女性 |
| 施術本数 | 16本 |
| 想定されるリスク | 処置後、短時間歯がしみる |
よくある質問
どのくらい白くなりますか?
変色の原因・程度・歯の質により個人差がありますが、元の歯の色合いから徐々に変化し、白くなります。
ホワイトニング後、歯の白さはどのくらい持続しますか?
残念ながら永久的な持続は困難です。一般的にオフィスホワイトニングでは、2週間ほどで2シェード程度戻り、その後は緩やかなペースで再着色していきます。
ただし、歯の性質や生活習慣により個人差があります。白さを維持するためには、定期的にタッチアップ(追加のホワイトニング)することをおすすめします。
誰でもホワイトニングは受けられますか?
基本的に20歳以上の方が対象です。
また以下の方はホワイトニングはご遠慮いただいています。
妊娠中や授乳中の方
当院では、お子さまの安全を最優先していますので、妊娠中・授乳中の方はお控えいただいております。
無カタラーゼ症の方
ホワイトニングの薬剤に含まれる過酸化水素を分解する酵素を持っていないので、飲み込んでしまった場合は問題が生じるためできません。
エナメル質形成不全や象牙質形成不全の歯がある方
歯の成長過程でエナメル質や象質が十分に発展できない状態の歯がある方がホワイトニングを行なった場合は、効果が期待できないほか、歯髄(しずい)に刺激を与える可能性があるため禁忌です。
むし歯や中~重度歯周病の歯がある方
症状を悪化させてしまうため、治療を優先させていただきます。
ホワイトニング前のクリーニングは必要ですか?
ホワイトニングは歯の表面から薬剤を作用させるため、歯面の状態が効果に影響します。
歯には、歯石・プラーク・タバコのヤニなど、さまざまな沈着物が付着していますが、薬剤はまずそれらの沈着物に作用します。
そのため、これを防ぐ処置として、歯のクリーニング(PMTC)を実施してから、ホワイトニングを行うことをおすすめします。
お問い合わせ
CONTACT
お口のお悩みやお子さまのお口で気になることがあれば、
東急東横線「祐天寺駅」東口2改札から歩いて1分の場所にある
「こどもの歯科」にご相談ください。
